春日井市の歯医者・歯科医院なら

〒486-0832 愛知県春日井市乙輪町3丁目50−1
JR中央線「春日井駅」より徒歩7分

診療時間
9:30~12:30
14:00~18:30

▲:14:00~17:30(休診日:木曜・日曜・祝日)

ご予約・お問合せはこちらへ

0568-84-2333

当院のラミネートベニア

※自費診療になります。

ラミネートベニアとは?

ラミネートベニアとは、歯の表面を薄く一層削り、セラミック等の薄いシェルを貼り付ける治療法です。歯の色を改善し自然な白さの歯を目指せるだけでなく、歯の形や大きさ、すきっ歯などの見た目も整えられます。

被せ物と比べて歯を削る量が少なく、治療期間も短いという点が、この治療法のメリットと言えます。わずか2回の来院で、「気になる歯」を「美しい歯」に変えることが可能です。

当院では「美しい歯で自信を持って会話を楽しみ、心から笑える喜びを感じてほしい」という思いで、ラミネートベニア治療を提供しています。

ラミネートベニアは
こんな方におすすめ

  • 前歯の色や形が気になる方
    ホワイトニング等で改善できない変色や、歯の形にコンプレックスがある方にピッタリ
  • すきっ歯や軽度の歯並びの乱れがある方
    矯正まではしたくないけど、見た目を整えたい方に
  • 短期間で美しい歯にしたい方
    通院は2~3回程度で済み、短期間で完了します
  • 歯を削るのを最小限にしたい方
    表面のみを薄く削るため麻酔は必要ありません

被せ物とラミネートベニアの違い

春日井市のラミネートベニア

被せ物治療では、歯を全体的に大きく削り、削った歯をすっぽりと覆うように人工の歯を被せます。大きな虫歯や歯が欠けた場合に、見た目や機能の回復を目的として行われる治療です。

一方、ラミネートベニアは歯の表面(エナメル質)をごく少量、わずか0.3〜0.5mm程度削るだけです。形を整えた薄いセラミック等のシェルを歯に貼り付けて、理想の歯の色や形を目指します。

被せ物治療と比べて、天然の歯への負担が少ないのが特徴です。審美的な改善を求めながらも、できるだけ歯を残したい方にピッタリの、体に優しい治療法と言えます。

ラミネートベニアのメリット

ラミネートベニアには、以下のようなさまざまなメリットがあります。

前歯を理想の色や形にできる

春日井市のラミネートベニア

ラミネートベニアの専門的な知識・技術を持つ歯科医師と歯科技工士が連携し、一つひとつ患者さまのご希望の色や形に仕上げていきます。

黒ずんだ前歯や、まだらな色味が気になる方におすすめです。歯の色を改善するだけでなく、形も整えられます。長年使っても擦り減らず、光沢感や色味が変わらないのも大きな魅力です。

すきっ歯や軽度の歯並びの乱れも改善できる

春日井市のラミネートベニア

前歯の隙間を自然に埋められるため、すきっ歯でお悩みの方にもおすすめです。

歯科医師の技量によって対応できる隙間の大きさは異なりますが、当院はケースにより3mm程度の隙間にも対応が可能です。

また少しのねじれ等の、歯並びの軽度な修正も可能です。

歯を削る量が少ない

春日井市のラミネートベニア

通常の被せ物よりも削る量が圧倒的に少なく、歯へのダメージが少なく済みます。

金属アレルギーの方も大丈夫

春日井市のラミネートベニア

保険の被せ物の場合、金属が使われることが多いほか、表面はセラミックでも内面に金属が使われていることもあります。

しかし、ラミネートベニアは金属を一切使いません。金属アレルギーの方にご安心いただきやすいのはもちろん、今後の発症を防ぎたい方にもおすすめです。

2回の通院で治療が完了

春日井市のラミネートベニア

虫歯や歯周病がなければ、最短2回の通院で治療が完了します。

矯正治療なら最短でも半年〜2年かかることを考えると、短期間で前歯の隙間を埋められ、色味や形も改善できるのは大きなメリットと言えます。

ラミネートベニアのデメリット

メリットの多いラミネートベニアですが、デメリットも存在します。当院では事前にしっかりとご説明した上で、治療に臨んでいただいています。

保険適用外で費用がかかる

春日井市のラミネートベニア

ラミネートベニアは保険適用外の自費診療です。そのため、保険適用の前歯の被せ物治療と比べて費用が高額になります。

ホワイトニングやダイレクトボンディングと比較しても費用はかかります。

歯を削る必要がある

春日井市のラミネートベニア

全く歯を削らずに治療できるケースは、ごく限られた症例のみです。

歯を削らない場合は歯茎との境の部分の接着が難しく、治療の精度が下がってしまいます。また、削らずに治療すると均一な厚みが保てず、薄い部分から割れてきてしまうリスクが高まります。

審美性と長期的な安定性を考慮すると、ごくわずか(0.3〜0.5mm程度)でも削ったほうが良いというのが当院の考えです。一層削ることでラミネートベニア自体の厚みを均一にでき、長持ちにもつながります。

※歯を全く削らず色や形を微修正する方法としては、ダイレクトボンディングがあります。

欠ける・割れることがある

春日井市のラミネートベニア

強い負担や衝撃が加わると、欠けたり割れたりする可能性があります。歯ぎしりや食いしばり、硬いものを食べた際の衝撃などが主な原因です。その場合でも、部分修理が可能です。

このデメリットを少しでも補えるよう、当院では耐久性の高い素材を使用し、美しさと強度を両立させたラミネートベニア治療を行っています。

ラミネートベニアの材質

春日井市のラミネートベニア

ラミネートベニア治療では、自然な美しさと耐久性を兼ね備えた2種類の材質をご用意しています。従来のポーセレン(陶材)よりも割れにくく、長く使い続けられる素材です。

自然で美しい見た目が叶うだけでなく、変色せず、プラーク(歯垢)がつきにくく耐久性にも優れているので、安心して治療に臨んでいただけることでしょう。

e-max(イーマックス:ニケイ酸リチウムガラスセラミックス)

従来のポーセレンと比べて、強度や耐久性が大きく向上した材質です。強度はポーセレンの3〜4倍程度と言われています。

透明度が高いのが特徴で、天然歯に近い自然な色調を目指せます。現在、当院では最も多く使用しています。

ジルコニア

透明度や強度の異なる5種類のジルコニアから、ラミネートベニアに適した2種類を厳選して採用しています。ポーセレンやe-maxと比べて透け感が少なく、土台となる歯の色の影響を受けにくいのが特徴です。

歯の変色が強い場合や、より高い強度が必要な場合に適しています。e-maxよりもさらに2〜2.5倍という非常に高い強度を誇り、長期間お使いいただけます。

※この他に、コンポジットレジンを使用したレジンラミネートべニアもあります。ダイレクトボンディングのページをご覧ください。

ラミネートベニアを
ご検討中の方へ

春日井市のラミネートベニア

「自分にはどの審美歯科治療が適しているのか」「どの治療を選べばいいのか」と悩まれている方も多いのではないでしょうか。

歯の色味や形を整えたい、歯と歯の間の隙間を改善したい、なるべく歯を削りたくない。こうしたお悩みやご希望をお持ちでラミネートベニアを検討されているものの、なかなか一歩を踏み出せない方がいらっしゃるかもしれません。

当院ではラミネートベニアに限らず、多くの審美歯科治療に携わってきました。さまざまな治療法に対応できるからこそ、患者さまのご希望を伺った上で、本当に適した治療法をご提案できます。

もちろん、無理に治療を押し付けたり、歯科医師の独断で進めるようなことは決してありません。審美歯科治療の分野で30年以上(※)の豊富な知識と経験・実績を持つ院長が、お一人おひとりの気持ちに寄り添いながら診療します。

治療法で悩まれている方は、まずは気軽にご相談ください。丁寧な説明と精密な治療で、理想の口元を目指していきます。

※2025年現在

ラミネートべニア治療の症例情報

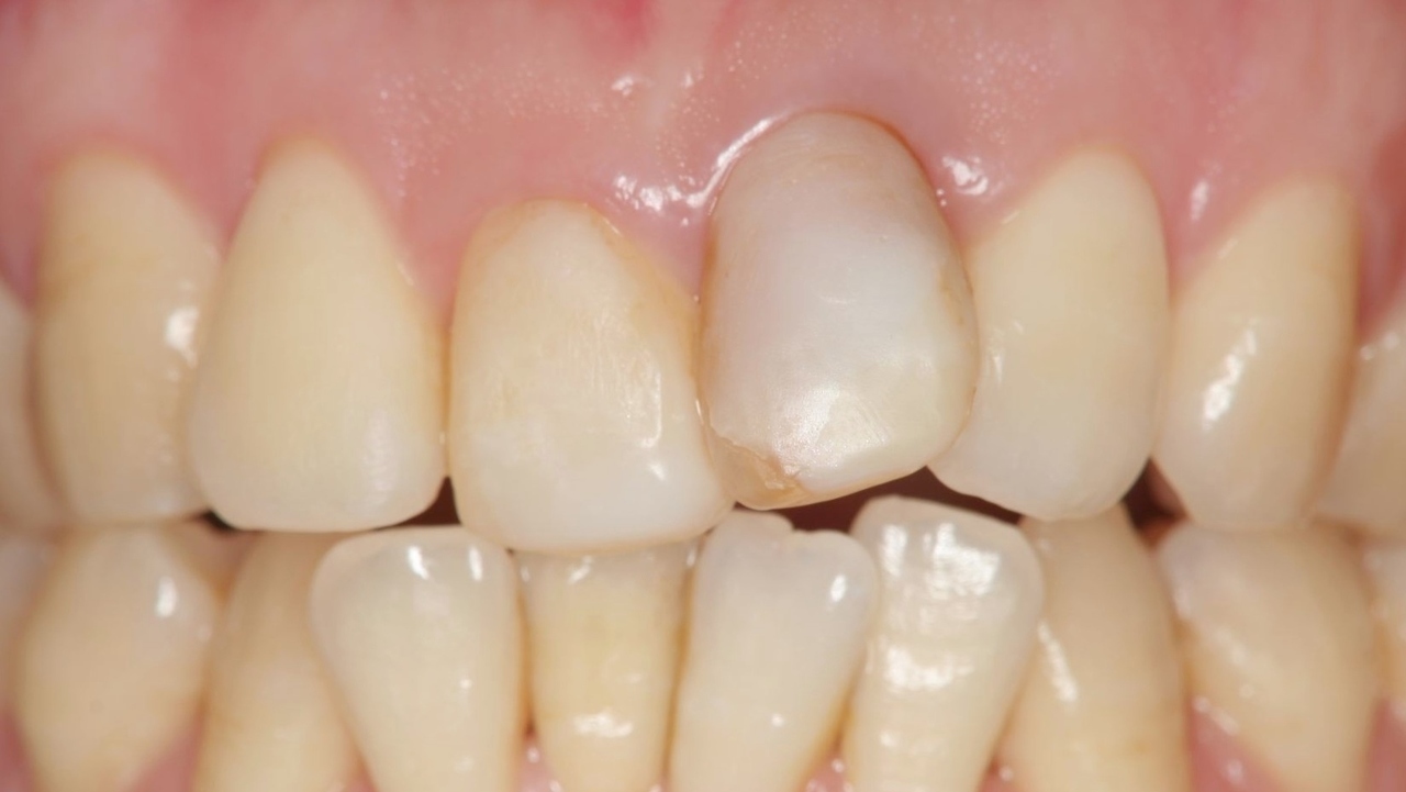
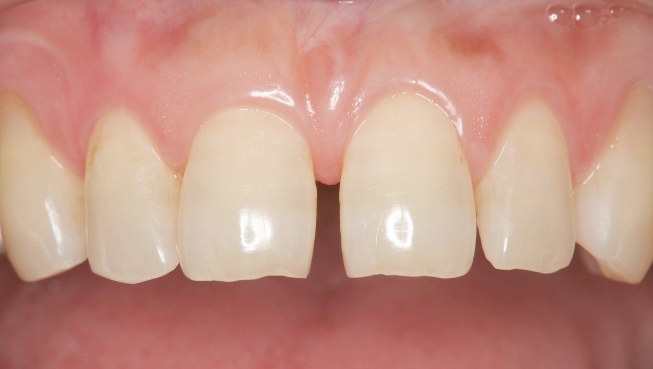
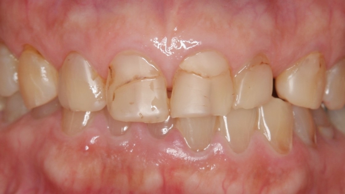
セラミックラミネートべニア上顎6歯の症例

Before

春日井市のラミネートベニア

After

春日井市のラミネートベニア

S.F.さま 女性  治療時70歳

治療時70歳の方ですが、加齢による歯の変色に加え、つぎはぎの詰め物の変色、歯の形やすき間など、長い間お口にコンプレックスを持ってらっしゃいました。

この治療法を紹介させていただいたところ、即決で治療を受けることを承諾されました。

前歯6本の歯の表面と切端を少し切削するだけなので、麻酔も必要なく、わずか2回の治療で前歯すべての悩みが解消され、とても喜んでいただきました。2021年には8020表彰(愛知県歯科医師会主催)を当院でさせていただきました。

治療後14年経過し、現在84歳(2025年現在)になられましたが綺麗な状態を保たれています。もちろん、3ヶ月に1度のメインテナンスは欠かさず来院されています。

ご自分の人生を、まだまだ楽しんでいただきたいものです。そのお役に立てることを、歯科医として誇りに思います。

治療の期間・回数:13日、2回
治療時期:2011年

治療の価格:518,000円
治療のリスクや副作用:強い衝撃や歯ぎしりなどのため、ヒビが入ったり欠けることがあります。歯ぎしりのある場合は就寝時のマウスピースが必要です。もし欠けても修理可能です。

ホワイトニング 
ジルコニアセラミッククラウン1歯 
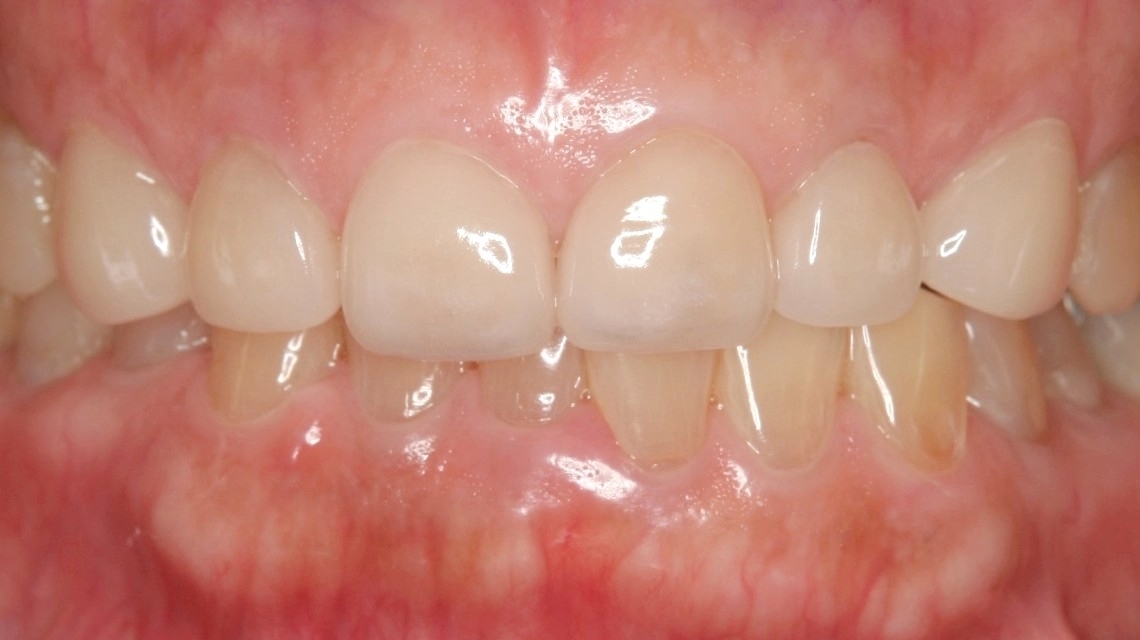
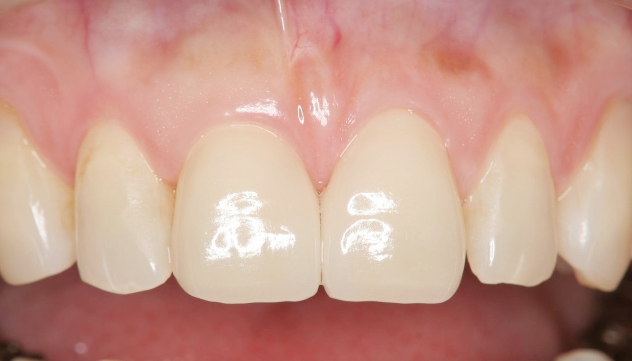
セラミックスラミネートベニア1歯の症例

Before

春日井市のラミネートベニア

After

春日井市のラミネートベニア

T.F.さま 女性  治療時30代

スペース不足により前に押し出されたような状態で、歯の幅も不足しています。

ホワイトニング後、前に出ている歯はジルコニアセラミックスクラウンで内側へ、隣の少し内に入っている歯はラミネートベニアで外に出し、スペース不足と形態修正を同時に治しました。

お顔の印象が、ガラリと変わりました。とても喜ばれ、いつもニコニコとメインテナンスに来院されます。

2025年現在12年経過しましたが、全く変わりはありません。

治療の期間・回数:ホワイトニング2回 ジルコニアセラミッククラウンとラミネートべニア33日、4回
治療時期:ホワイトニング2012年、ジルコニアセラミッククラウンとラミネートべニア2013年
治療の価格:239,400円(ホワイトニング・ジルコニアセラミッククラウン・ラミネートべニア含む)
治療のリスクや副作用:強い衝撃や歯ぎしりなどのため、ヒビが入ったり欠けることがあります。歯ぎしりのある場合は就寝時のマウスピースが必要です。もし欠けても修理可能です。

セラミックスラミネートベニア 上顎前歯2歯の症例

Before

春日井市のラミネートベニア

After

春日井市のラミネートベニア

N.N.さま 女性  治療時50代

前歯に隙間があることに長い間悩んでおられました。

ラミネート治療により隙間がなくなり、きれいで引き締まった口元になると、受けるお顔の印象も違ってきます。

治療時50歳ですが、笑顔もキュートになられました。

15年経過(2025年現在)しましたが全く変わらずキレイなままです。セラミックの良さを感じます。定期メインテナンスは欠かさず続けさせていただいています。

治療の期間・回数:14日、2回
治療時期:2010年
治療の価格 :168,000円
治療のリスクや副作用:強い衝撃や歯ぎしりなどのため、ヒビが入ったり欠けることがあります。歯ぎしりのある場合は就寝時のマウスピースが必要です。もし欠けても修理可能です。

ラミネートべニア治療の
種類・料金

ラミネートべニア

春日井市のラミネートベニア

歯の表面を薄く一層削り、その上に薄いシェル状のセラミック等を貼りつける治療法です。

ホワイトニングでは改善できないほどの強い歯の変色がある場合も、白くできます。また、歯の形も変えられるため、欠けていたり、すきっ歯や形が不揃いの場合等にも効果的です。

ラミネートべニア 110,000円

治療の期間・回数:2回
リスクや副作用:強い衝撃や歯ぎしり等のため割れる(欠ける)可能性があります。歯ぎしりのある場合は、就寝時のマウスピースが必要です。もし欠けても修理可能です。土台となるご自身の歯をわずかですが削る必要があります。

※金額は税込み表記です。

ラミネートべニア治療の
よくあるご質問

ラミネートベニアは
どのくらい持ちますか?

一概には言えませんが、噛み合わせや使用状況によります。また、適切なセルフケア(丁寧な歯磨き)と歯科医院での定期メインテナンスが長持ちのカギです。基本的に長年使っても擦り減らず、光沢感や色味も変わらないのが特徴です。

ただし、歯ぎしりや食いしばりなどの癖がある方は欠けや割れが起こりやすくなります。そのような方には、就寝時のナイトガード(マウスピース)の使用をおすすめしています。

ラミネートベニアが
とれてしまったら、
どうすれば良いですか?

とれた場合は、そのラミネートベニアを歯科医院へお持ちください。絶対にご自宅にある瞬間接着剤などでつけないようご注意ください。適した処置を行いますので、速やかにご連絡いただければと思います。

歯を削らずにラミネートベニア
治療を行うことは可能ですか?

全く削らずに治療できる場合もありますが、ごく限られた症例のみです。削らない場合、歯茎との境の部分の接着が難しいケースが少なくありません。

治療としての精度が下がるため、当院では削らずに行うラミネートベニア治療は基本的におすすめしていません。審美性はもちろん、長い目で見た安定性を考えても、ごくわずか(0.3〜0.5mm程度)でも削ったほうが良いと考えています。一層削ることで、ラミネートベニア自体の厚みを均一にでき、長持ちにもつながります。削らずに治療を行うと、どうしても均一な厚みを保つのが困難です。そのため、薄い部分から割れてきてしまうリスクが高まります。

削りたくない場合は、ダイレクトボンディングによるレジンラミネートをおすすめしています。

春日井市にある歯科「加藤歯科医院」では、ラミネートべニアによる治療で美しい白い歯の口元をお作りします。豊富な経験で、お口の健康まで考えた治療をご提供する歯医者です。
 

春日井市の歯医者|加藤歯科医院

加藤歯科医院 院長 加藤 達朗

資格

歯科医師

検診・歯石取り・歯のクリーニング・フッ素塗布などもご予約いただけます。3か月先のご予約もお気軽にどうぞ。

0568-84-2333

診療時間

 
午前
午後

午前:9:30~12:30
午後:14:00~18:30
:14:00~17:30

休診日:木曜・日曜・祝日

0568-84-2333

〒486-0832
愛知県春日井市乙輪町3丁目50−1
JR中央線「春日井駅」より徒歩7分