春日井市の歯医者・歯科医院なら

〒486-0832 愛知県春日井市乙輪町3丁目50−1
JR中央線「春日井駅」より徒歩7分

診療時間
9:30~12:30
14:00~18:30

▲:14:00~17:30(休診日:木曜・日曜・祝日)

ご予約・お問合せはこちらへ

0568-84-2333

当院のダイレクトボンディング

歯を削らないのに1回の治療で「気になる歯」が「美しい歯」になるダイレクトボンディング治療とは?

ダイレクトボンディングとは?

ダイレクトボンディングとは、白いペースト状の材料を直接歯に詰めて治療する方法です。虫歯の詰め物治療や、すきっ歯など気になる歯の形や色の改善が、1回の治療で叶います。

使用するのは、レジン(プラスチック)とセラミックを組み合わせた材料です。保険診療で使用するコンポジットレジンと比べて、色調や透明度が多彩で、歯本来の透明感も再現できます。

本来の歯に近い色の層を積み上げながら詰めていくため、天然の歯に近い自然な見た目が実現します。より見た目と耐久性に優れた、ワンランク上の治療です。

わずか1回の来院で、気になっていた歯を「美しい歯」に変えられるダイレクトボンディング。美しい歯で自信を持って会話を楽しみ、心から笑える喜びを感じていただきたい。そんな思いでこの治療法をご紹介しています。

ダイレクトボンディングは
こんな方におすすめ

春日井市のダイレクトボンディング
すきっ歯を治したいが、削りたくない!

このような悩みを持っている方にダイレクトボンディング治療はぴったりです。

歯列矯正でも歯並びを整えることは可能ですが、費用が高く、期間もかかります。歯を削らず1回の治療で隙間がなくなります。

※隙間が大きいケースでは、セラミックラミネートべニアの検討が必要になることもあります。

春日井市のダイレクトボンディング
根元の隙間が大きい!

根元に隙間があり、黒く見えて見栄えが悪いと悩んでいる方にピッタリです。

歯は削らず隙間を狭くできます。

 
春日井市のダイレクトボンディング
歯の形が悪い!

「歯の形が小さい」「内側に倒れていて歯がないように見える」など審美的なコンプレックスがあるが、歯を削ったり被せたりしたくないとお考えの方に。

春日井市のダイレクトボンディング
前歯の色が気になる!
デコボコしている!

歯の表面の変色や凹凸などを被せないで、きれいにしたいと悩んでいる方。

 
春日井市のダイレクトボンディング
歯が欠けた!削らずに治したい

転倒などの事故や硬いものをかんだ拍子に歯が欠けてしまったような場合でも治療可能です。ほとんど歯を削らずに1回で治療可能です。

※欠けた部分が大きい場合には被せる治療が必要になることもあります。

春日井市のダイレクトボンディング
ワンランク上の虫歯治療

虫歯の部分を最小限ていねいに削り、保険のレジン(プラスチック)を超えた高性能のコンポジットレジンで修復します。歯にやさしく、自然な見た目や透明感を回復し、2次むし歯のリスクを低減することができます。

春日井市のダイレクトボンディング
銀歯の詰め物を白くしたい!

1回の治療で白く、きれいな歯に!

※大きな詰め物はセラミックやジルコニア治療の検討が必要になることがあります。

 

ダイレクトボンディングの特徴

ここでは、ダイレクトボンディングについて大きく4つのポイントをご紹介します。

歯を全く削らない
もしくは削る量が少ない

春日井市のダイレクトボンディング

ダイレクトボンディングの材質はペースト状のため形を自由につくれます。すきっ歯や歯の形の改善などは歯を全く削らずに治療できます。

むし歯治療で削る必要のある場合でも、必要最小限で済みます。

1回で治療が完了

春日井市のダイレクトボンディング

一般的な詰め物・被せ物治療では、歯の型どりから装着まで早くても一週間程度が必要です。これは、歯科技工所で歯科技工士が一つひとつ作製する必要があるためです。

しかしダイレクトボンディングなら、1回で治療が完了します。通院回数が少なく済むため、忙しい方にも負担の少ない治療法と言えます。

見た目が自然で美しい

春日井市のダイレクトボンディング

天然の歯は、明るく透明感のあるエナメル質と、色が濃く透明性の低い象牙質が重なってできています。

この複雑な質感を再現するため、当院では数種類の色味や透明性を備えたペーストを用意。周囲の歯に合わせた色調で適度な透明感を出し、自然な仕上がりを実現します。

使用する材料には「スープラナノ球状フィラー」という成分が配合されており、光沢感が長期間持続するのも特徴です。

リーズナブル

春日井市のダイレクトボンディング

保険適用はないものの、たとえば前歯の隙間改善を目的とする場合などセラミック治療や歯列矯正と比べて圧倒的に安価です。

歯の形態の改善や気になる銀歯の取り替えなども、セラミック治療に比べてリーズナブルに治療できます。

当院のこだわり

春日井市のダイレクトボンディング

精密なダイレクトボンディング治療を提供するために、当院ではさまざまな点でこだわりを持って取り組んでいます。

虫歯がある場合、取り残しがないよう細部まで確認しながら丁寧に除去。その一方で、健全な歯質を削りすぎないよう細心の注意を払います。ドリルのような機械のみを使用して削るのが一般的ですが、当院では削りすぎを防ぐため、仕上げに必ず手作業で本当に悪い部分だけを取り除いています。

虫歯が深く神経の近くまで及んでいる場合には、組織無菌化療法(3Mix-mp法)(※)で虫歯菌を殺菌。神経をなるべくとらずに済むよう、歯の寿命を第一に考えた治療を実践しています。

虫歯を取り除いた穴に材料を詰める際も、丁寧に作業を進めます。さまざまな器具やテクニックを駆使し、歯本来の形態となるよう修復を実施。治療時間は30〜45分程度と多めにかかりますが、違和感のない自然な歯の色を可能な限り再現するためとご理解ください。

最後の仕上げには丁寧な研磨を行い、歯本来の光沢感を出すなど審美性を徹底的に追求しています。

一切の妥協なく治療を進めていきますので、美しさと機能性を兼ね備えた審美歯科治療をご希望の方は、ぜひ当院にお任せください。

※組織無菌化療法を行っても必ず神経を残せるとは限りません。

ダイレクトボンディングの
症例情報

ダイレクトボンディングの症例

Before

春日井市のダイレクトボンディング

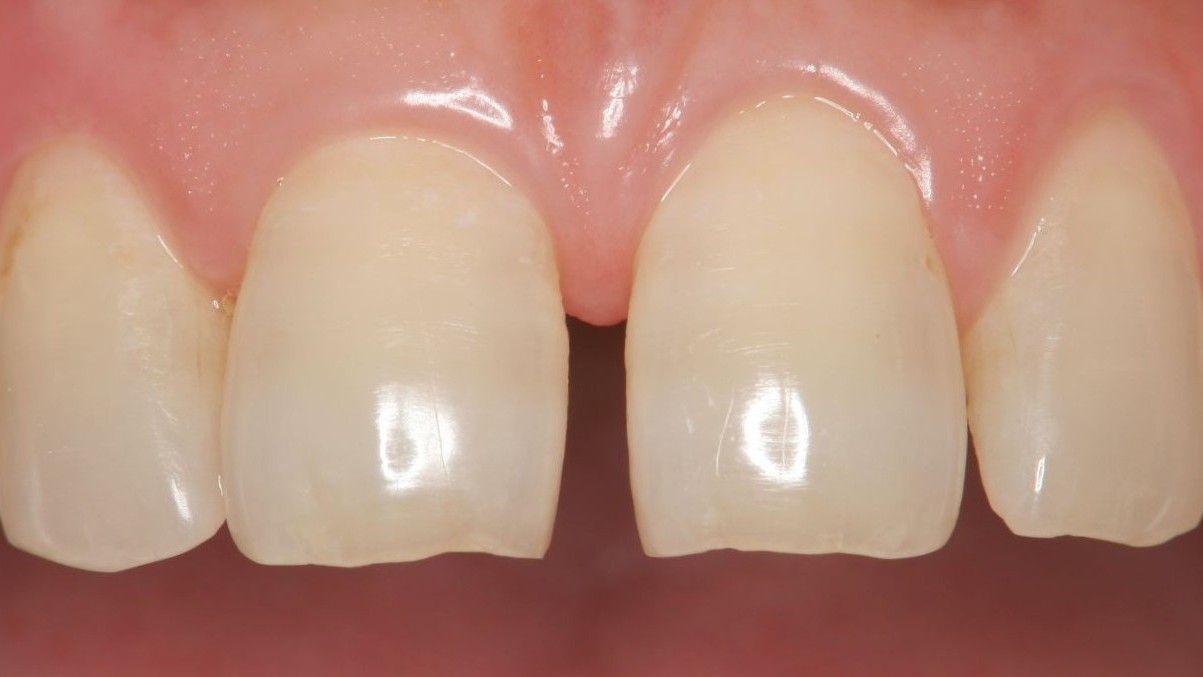
After

春日井市のダイレクトボンディング

O.R.さま 男性  治療時50代

虫歯の治療とともに白くてきれいな歯にしたい。人前で笑えるようになりたいとのご希望でした。

所々、歯と歯の間に隙間があり、また歯周病のため歯ぐきが下がり根元が空いている状態でした。歯周病治療を行いながら虫歯治療、銀歯を白い歯に変え、ホワイトニングを行なった後に順番にダイレクトボンディング治療を行っていきました。

 
現在は月に一度定期メインテナンスに通院されています。
 

治療の期間・回数:1回
治療時期:
2021年
治療の価格:33,000円
治療のリスクや副作用:経年劣化で変色することがあり、また、強い力がかかると欠けたりすることがあります。ただし、研磨や補修など適切なメインテナンスでこれらのリスクを軽減できます。

ダイレクトボンディングの症例

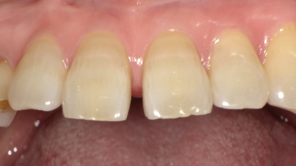
Before

春日井市のダイレクトボンディング

After

春日井市のダイレクトボンディング

F.M.さま 女性  治療時50代

前歯の隙間が気になり、ダイレクトボンディング治療の相談で来院されました。セラミックラミネートべニアも含めて提案させていただき、ダイレクトボンディング治療をご希望されました。ホワイトニングもご希望でした。ホワイトニングは自分の歯を白くできますが、治療に使う材質は白くできません。そのため先におこなっています。

1回の治療で隙間がふさがり、見た目も自然でとても驚かれ、感激されていました。無自覚でのかみしめの癖や歯ぎしりがあるため、その解消法の指導と合わせ就寝時にマウスピースを装着していただいております。

今後は当院での定期メインテナンスをご希望されました。

治療の期間・回数:1回
治療時期:2025年
治療の価格:77,000円(2歯分)
治療のリスクや副作用:経年劣化で変色することがあり、また、強い力がかかると欠けたりすることがあります。ただし、研磨や補修など適切なメインテナンスでこれらのリスクを軽減できます。

※隙間が大きすぎる場合は向いていませんので、セラミック治療など他の方法の検討が必要になることがあります。

ダイレクトボンディングの症例

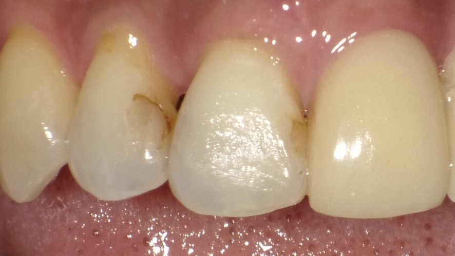
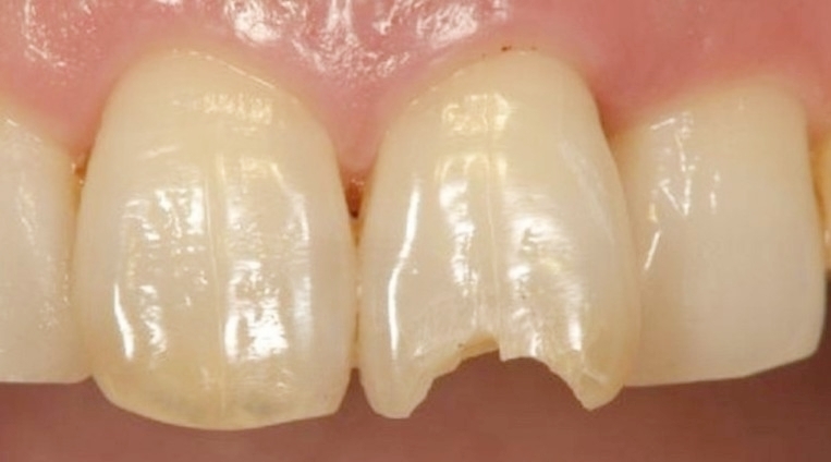
Before

春日井市のダイレクトボンディング

After

春日井市のダイレクトボンディング

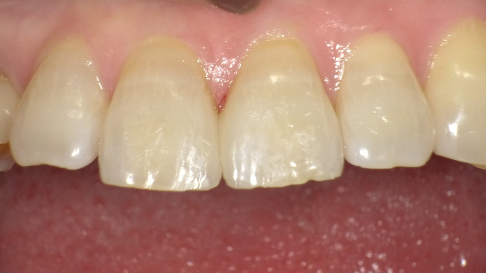
H.T.さま 女性  治療時20代

右上の側切歯が小さく、しかも内側に入っているために見た目が気になること。特に写真を撮った時に歯がないように見えるため、審美治療をご希望で来院されました。

このようなケースでは、歯を削らないダイレクトボンディング治療が最適です。外側に盛り足し厚みが出ますが、形を自由につくることができますので、隣の歯とのバランスなど確認しながら、最終的に満足いく形に仕上げることができます。

今までコンプレックスに感じていた歯が、わずか1回の治療で劇的に変わるので、とても感激されました。

 

治療の期間・回数:1回
治療時期:2025年
治療の価格 :44,000円

※自費診療になります。

ダイレクトボンディングの
種類・料金

ダイレクトボンディング

春日井市のダイレクトボンディング

セラミックとレジン(歯科用プラスチック)からなるペースト状の材料をお口の中で歯に直接盛り付け、歯の形や色を改善する治療です。

様々な色調や透明度の違いがあるものを組み合わせて用いますので、審美的に仕上がります。歯を削ることなく1回の治療で完了します。虫歯がある場合は削りますが、その場合でも必要最小限で済みます。

1歯 27,500~44,000円

治療の期間・回数:1回
リスクや副作用:セラミック治療と比べると、長年の使用で変色、部分的な欠けや摩耗することがあります。ただし、部分的な修理や研磨で回復が可能です。長くきれいに保つためには、定期的なメインテナンスが必要です。

※金額は税込み表記です。

ダイレクトボンディングの
よくあるご質問

ダイレクトボンディングの材質は何ですか?

レジン(プラスチック)とセラミックを組み合わせた歯科専用の材質です。さまざまな硬さや色調、透明度の違いがあるものを組み合わせて使用します。この組み合わせにより、天然の歯に近い質感と強度を実現しています。

ダイレクトボンディング治療は
保険が使えますか?

審美性や機能性に優れ、治療方法も高度になるため保険は適用されません。自費診療となりますが、その分良質な治療を目指せます。

保険の虫歯治療で使用する
白い詰め物との違いは?

保険の制約がないため、より質の高い材料・機材を使用し、時間をかけた優れた治療が可能になる点が大きな違いです。

審美的で2次虫歯になりにくく、耐久性に優れたワンランク上の治療を目指せます。歯を大切に考える方におすすめの治療法です。

春日井市にある歯医者「加藤歯科医院」では、ダイレクトボンディングを用いたワンランク上の治療を提供しています。多くの審美歯科症例を経験し、長期に渡り見守ってきた院長 加藤が担当させていただきます。

あなたのご希望や疑問、心配なことなどお聞きいたします。治療法など悩まれている方は、まずは気軽にご相談下さい。

春日井市の歯医者|加藤歯科医院

加藤歯科医院 院長 加藤 達朗

資格

歯科医師

検診・歯石取り・歯のクリーニング・フッ素塗布などもご予約いただけます。3か月先のご予約もお気軽にどうぞ。

0568-84-2333

診療時間

 
午前
午後

午前:9:30~12:30
午後:14:00~18:30
:14:00~17:30

休診日:木曜・日曜・祝日

0568-84-2333

〒486-0832
愛知県春日井市乙輪町3丁目50−1
JR中央線「春日井駅」より徒歩7分