春日井市の歯医者・歯科医院なら

〒486-0832 愛知県春日井市乙輪町3丁目50−1
JR中央線「春日井駅」より徒歩7分

診療時間
9:30~12:30
14:00~18:30

▲:14:00~17:30(休診日:木曜・日曜・祝日)

ご予約・お問合せはこちらへ

0568-84-2333

当院の審美歯科

※自費診療になります。

審美歯科とは?

「審美歯科」とは、歯や口元を美しくする総合的な歯科治療のことです。

歯科治療には「虫歯や歯周病を改善する」「噛み合わせを改善する」といった機能面を回復する治療と、「歯並びを整える」「白い歯にする」といった審美性を改善するための治療があります。

この両方を満たすのが、審美歯科治療です。

審美歯科はこんな方におすすめ

  • 銀歯が気になり、口を開けるのが恥ずかしい
  • 歯の色や形が気になる
  • 前歯の詰め物や被せ物の変色が気になる
  • 金属アレルギーで銀歯が使えない
  • 歯ぐきが黒ずむのが気になる

当院の審美歯科治療

経験豊富な院長が治療を担当

春日井市の審美歯科

当院で審美歯科治療を担当するのは、これまで白い詰め物や被せ物の治療を多く手がけてきた、経験豊富な院長です。そのため、天然の歯のように美しい詰め物や被せ物のご提供が可能です。

院長はこれまで、審美歯科治療で著名な歯科医師から学びを得てまいりました。それは国内にとどまりません。世界中からその技術を求められるような、テキサス大学歯学部審美歯科の教授の研修にも参加。また、歯科医師の卒後研修機関である「JIADS」や、「IDA国際デンタルアカデミー」でも研鑽を重ねてきたのです。

このように多くの経験を積み、技術を磨いてきた院長による治療で、自然な見た目の美しい詰め物や被せ物をお作りいたします。白く美しい歯の口元をつくるジルコニアやオールセラミックの詰め物・被せ物のほか、歯を1本失った場合におすすめの、あまり削らないブリッジにも対応が可能です。

顔全体のバランスを意識した美しい口元

春日井市の審美歯科

お口は顔の中央に位置しており、顔の印象を大きく左右する重要なパーツです。審美歯科では、歯だけをきれいにすれば良いわけではありません。歯と歯ぐきや歯と唇のバランス、そして顔全体と口元の調和も考えた治療を行うことが大切です。

そこで当院では1本1本の歯の形はもちろん、「スマイルライン」や「エステライン」まで意識した治療を実践しています。この2つの「ライン」とは、言わば口元を美しく見せるための基準のことです。

これらを考慮した治療だからこそ、より理想に近い笑顔や歯の色が実現できます。歯と唇の美しいバランス、お顔全体のバランスをしっかり確認して治療を進めるため、詰め物・被せ物を入れた後は、より美しい笑顔が手に入ります。

お口にピッタリ合う長持ちする詰め物・被せ物

春日井市の審美歯科

白い詰め物・被せ物の治療で口元を美しく見せるためには、詰め物・被せ物の縁と歯をピッタリと合わせ、歯ぐきとの間に段差ができないようにするのがポイントです。

これが実現できれば、見た目が良くなるだけでなく、歯を長持ちさせられます。なぜなら、段差がなくなると歯磨きがしやすくなり、汚れを溜めにくいお口の環境にできるからです。その結果、お口の中で発生するトラブルを減らせます。

段差のない詰め物や被せ物をお作りするには、土台となる歯を精緻に削る細やかな作業と、精密な型どりが欠かせません。

当院ではこの歯を削る工程で、「拡大鏡」という歯科用のルーペを使用しています。拡大鏡を使うと歯を拡大視できるので、患部を詳細に確認しながら必要な部分のみを削ることが可能です。

また、型どりの際は「圧排糸(あっぱいし)」と呼ばれる道具を使い、歯と歯ぐきの境界線をしっかりと分ける処置を行っています。この処置を行うと、歯と歯ぐきの境目のラインまで細かく型どりできるため、より精密でフィット感のある詰め物・被せ物が製作できるのです。

私どもは、このように手間を惜しまず一つひとつの工程を大切に進めることで、美しい見た目の長持ちする詰め物・被せ物を、患者さまにご提供してまいります。

技術力のある歯科技工所に製作を依頼

春日井市の審美歯科

歯の詰め物・被せ物や入れ歯といった歯科の技工物は、歯科技工士という専門家が歯科技工所で作ります。技工所にはそれぞれ得意分野があり、入れ歯が得意な技工所もあれば、詰め物や被せ物が得意な技工所も。

この歯科技工の技術力によって、技工物の出来は大きく左右されます。つまり白い詰め物・被せ物を作るなら、その製作を得意とする技工所に依頼したほうが良いのです。

当院では、自費診療の白い詰め物・被せ物などを専門に製作している歯科技工所に依頼しています。技術力のある歯科技工士がこだわりを持ってを担当しますので、見た目がきれいなのはもちろん、お口への馴染みも良いものが完成します。その仕上がりには、患者さまにもきっとご納得いただけるのではないでしょうか。

長持ちするセラミックの詰め物・被せ物

春日井市の審美歯科

セラミックの詰め物・被せ物、さらには土台となるご自身の歯を長持ちさせるために、私どもは細部にまでこだわった治療を実践しています。

詰め物・被せ物を装着する前に、歯の形成面にレジンコーティングを行っているのも、当院のこだわりの1つです。この工程により、歯の表面に人工のエナメル質を形成させ、被せ物の中で虫歯ができるのを防ぎます。

また、装着する際に使用する接着剤の選択にもこだわりがあります。最も接着力が高いと言われる、信頼性の高い材料を厳選。そのため、詰め物・被せ物が安易に外れることはありません。

このような材料には、取り扱いが難しいと言われるものが多いのも事実です。しかし当院では日常的に使用しており、スタッフも手際よく作業を進める技術を習得していますので、安心してお任せいただけることと思います。

保証をおつけしています

春日井市の審美歯科

私どもの歯科医院では、白い詰め物や被せ物といった審美歯科治療に対して、5年間の保証をおつけしています。

健康保険が使えない自費診療は、どうしても治療費が高額になりがちです。高い費用を支払ったのに、すぐにダメになったら?と心配される患者さまもいらっしゃるかもしれません。

その点、保証があれば何かあったときもご安心いただけるのではないでしょうか。このような保証をつけられるのは、当院の治療に対する自信の表れでもあります。質の良い治療を提供できる自負があるからこそ、責任を持って保証をおつけしているのです。

日常生活の中で起きた破損であれば、無償でお作り直しいたします。ただし、この保証は私どもの歯科医院で定期的なメインテナンスを受けていただいている方が対象です。

当院では患者さまの歯とお口を「生涯にわたってサポートしたい」という願いを込め、保証をおつけしています。

審美歯科の種類・料金

オールセラミック インレー・クラウン

春日井市の審美歯科

見た目や噛み合わせなどの改善を目的に、人工の歯(詰め物や被せ物)で補う治療法です。人工の歯は、金属やプラスチックを一切使わず、セラミックだけを使って作られます。

見た目が天然の歯のように美しいこと、劣化がないこと、汚れがつきにくく虫歯や歯周病のリスクが低いことが特徴です。

 e-maxインレー 60,500~66,000円
 e-maxクラウン 132,000円
 

治療の期間・回数:2~3週間、2~3回
リスクや副作用:保険の歯と比べて費用がかかります。

ジルコニア インレー・クラウン

春日井市の審美歯科

人工ダイヤモンドとも言われる、「ジルコニア」を使った詰め物・被せ物です。強度と耐久性に優れており、従来の方法に比べ薄くすることができるため削る量を最小限に抑えることができます。汚れがつきにくいため、2次虫歯や歯周病予防にもなります。また熱伝導率が低いため、知覚過敏も起きにくい特徴を持っています。

金属を使用していないため金属アレルギーの心配がなく、歯ぐきが黒く変色するおそれもありません。

ジルコニアインレー 77,000円
ジルコニアクラウン 96,800円
ジルコニアセラミック
クラウン
132,000円

治療の期間・回数:2~3週間、2~3回
リスクや副作用:保険の歯と比べて費用がかかります。

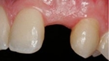
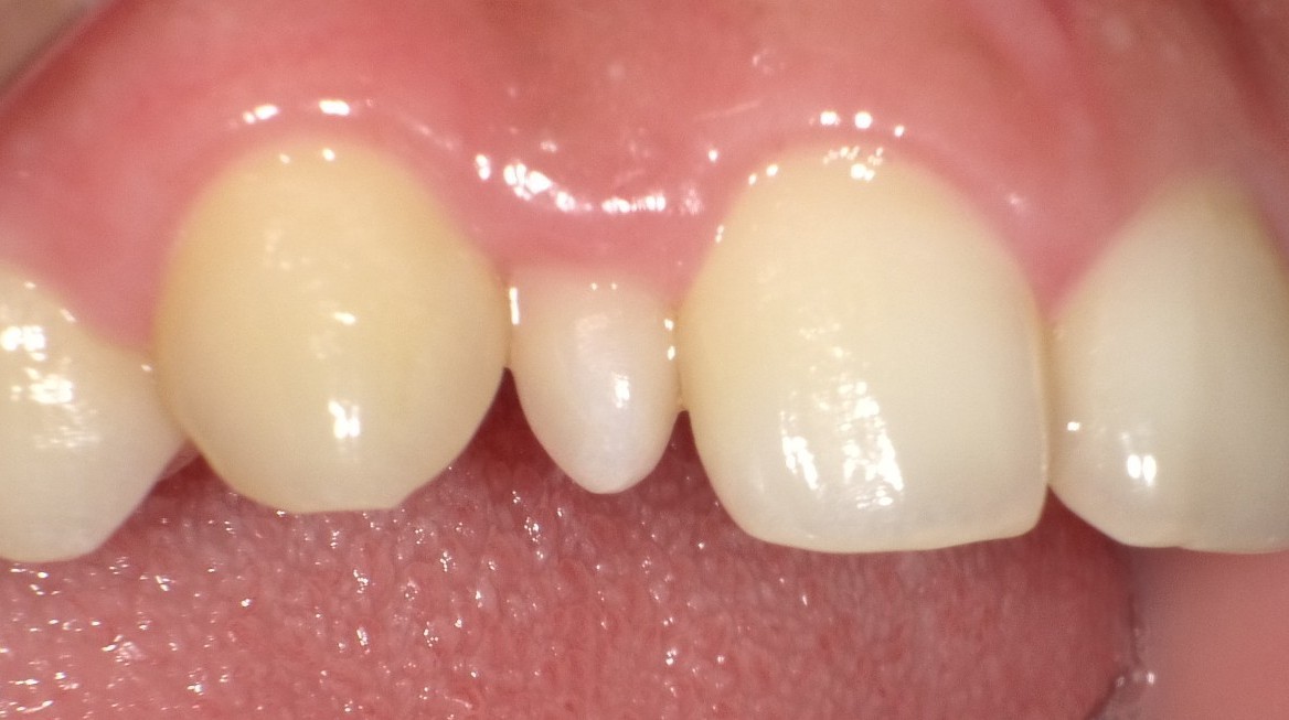
ジルコニア接着ブリッジ

春日井市の審美歯科

中央の歯はダミーで、両隣の歯の表側は天然の歯です

1本失った場合、隣の歯の裏側から欠損部に薄いジルコニアフレームを延ばし、隣の歯と密着させます。欠損部の表側は透明感のあるセラミックで作りますので見た目が美しく仕上がります。

失った歯にブリッジを装着する場合、従来は全体的に大きく削ってからブリッジを被せなければ、審美的な白さを確保できませんでした。しかし接着ブリッジであれば歯をあまり削らずに済み、残った歯の健康を維持できる点も大きなメリットです。

歯をあまり削りたくない方や、インプラントや入れ歯は嫌だという方におすすめの治療法です。

ジルコニア接着ブリッジ 209,000~275,000円

治療の期間・回数:2週間、2回
リスクや副作用:隣の歯の裏側を一層削ります。失った歯が1本のみで両側に歯がある場合に限られます。

春日井市の審美歯科

ブリッジ装着前

春日井市の審美歯科

ブリッジの裏側から見たところ

春日井市の審美歯科

ブリッジの上部から見たところ

ハイブリッドセラミックインレー

春日井市の審美歯科

見た目や噛み合わせなどの改善を目的に、人工の歯で補う治療法です。人工の歯は、ハイブリッドセラミックと呼ばれるレジン(プラスチック)とセラミックを混ぜ合わせた、樹脂(プラスチック)とセラミックの中間の素材で作られます。

セラミック製の詰め物に比べて、審美性や耐久性は劣るものの、セラミックに比べると比較的、安価に白い歯にできる点がメリットです。

ハイブリッドセラミックインレー 49,500円

治療の期間・回数:1~2週間、2回
リスクや副作用:強い力をかけると割れる(欠ける)可能性があります。すり減ることで噛み合わせの高さが変わってしまうことがあります。吸水性があるため変色することがあります。

ラミネートベニア

春日井市の審美歯科

歯の表面を薄く一層削り、その上に薄い板状のセラミックを貼りつける治療法です。

ご自身の歯の形態をきれいに整えたり、ホワイトニングでは改善できない強い歯の変色がある場合も、白い歯にすることができます。

ラミネートベニア 99,000円

治療の期間・回数:約2週間、2回
リスクや副作用:「かみしめ」のクセが非常に強い方の場合、歯とセラミックの弾性係数の違いに良い、ヒビが入ったり欠けやすくなります。その場合、クセの矯正指導と就寝時のマウスピースが必要です。もし欠けても修理可能です。

ダイレクトボンディング

春日井市の審美歯科

レジン(歯科用プラスチック)をお口の中で歯に直接盛り付け、歯の形や色を改善する治療です。

歯を削る量を最小限に抑えつつ、自然で美しい見た目を実現できます。他の審美歯科治療に比べて費用がリーズナブルで1回で終了することも、この治療方法のメリットです。

ダイレクトボンディング 27,500~44,000円

治療の期間・回数:1日、1回
リスクや副作用:長期の使用により変色する可能性があります。その場合、研磨をすれば改善します。

メタルボンドクラウン

春日井市の審美歯科

見た目や噛み合わせなどの改善を目的に、人工の歯で補う治療法です。人工の歯は、金属製の被せ物の外側にセラミックを焼き付けて作製します。

メタルボンドクラウン 96,800円

治療の期間・回数:2~3週間、2~3回
リスクや副作用:強い力をかけると割れる(欠ける)可能性があります。ジルコニアクラウンに比べ厚みが必要なため削る量は多めになります。金属を使っているため金属アレルギーのリスクがあります。

その他の詰め物・料金

ゴールドインレー

春日井市の審美歯科

金を用いた詰め物です。強度が強く安定して使用できる上、体に馴染みやすく2次的な虫歯リスクを下げられます。

「かみしめ」が強い方におすすめです。

ゴールドインレー 88,000円

治療の期間・回数:1~2週間、2回
リスクや副作用:セラミックに比べ審美的ではありません。

※金額は税込み表記です。

治療に使える時間の違い

CAD・CAM冠って

セラミック・ジルコニア

 自由診療は「補てつ物の良し悪し」
だけではありません

審美歯科治療のよくあるご質問

審美歯科は保険適用されますか?

一般的に、審美歯科治療は保険適用外です。ただし、ケースによっては一部保険適用される場合もございます。治療前のカウンセリングでわかりやすくご説明いたしますので、ぜひお気軽にご相談ください。

審美歯科の治療費はどのくらいかかりますか?

治療内容や使用する材料によっても異なるため、本サイトの料金表を参考にしてください。治療費については治療前に、しっかりお伝えします。不明な点がありましたら、何でも遠慮なくお尋ねください。

審美歯科治療後のケア方法は?

天然の歯と同様に、丁寧に歯磨きをしましょう。正しい歯磨きの方法は、歯科衛生士が指導いたします。

偏った食生活や歯ぎしり、食いしばりなどの習慣があると、詰め物・被せ物の劣化が早まってしまうことも。こうしたトラブル防ぐためにも、定期検診・メインテナンスが重要です。

審美歯科治療の流れ

春日井市の審美歯科

検査

検査器具やレントゲンで、歯やあごの骨の状態を調べます。

春日井市の審美歯科

治療計画の説明

歯やあごの骨など、お口がどんな状態なのかをご説明し、治療計画をご案内します。

春日井市の審美歯科

歯を削ります

詰め物や被せ物の土台になる歯を削ります。

春日井市の審美歯科

詰め物や被せ物を装着

詰め物や被せ物を装着します。

春日井市の審美歯科

メインテナンス

詰め物や被せ物を長持ちさせるために、定期検診や歯のクリーニングを受けることをおすすめします。

春日井市の歯医者|加藤歯科医院

加藤歯科医院 院長 加藤 達朗

資格

歯科医師

検診・歯石取り・歯のクリーニング・フッ素塗布などもご予約いただけます。3か月先のご予約もお気軽にどうぞ。

0568-84-2333

診療時間

 
午前
午後

午前:9:30~12:30
午後:14:00~18:30
:14:00~17:30

休診日:木曜・日曜・祝日

0568-84-2333

〒486-0832
愛知県春日井市乙輪町3丁目50−1
JR中央線「春日井駅」より徒歩7分