春日井市の歯医者・歯科医院なら

〒486-0832 愛知県春日井市乙輪町3丁目50−1
JR中央線「春日井駅」より徒歩7分

診療時間
9:30~12:30
14:00~18:30

▲:14:00~17:30(休診日:木曜・日曜・祝日)

ご予約・お問合せはこちらへ

0568-84-2333

当院のホワイトニング

※自費診療になります。

ホワイトニングとは?

ホワイトニングとは、食事、喫煙、加齢、遺伝などによる歯の黄ばみを白くする方法です。歯の表面に専用のホワイトニング剤を塗布し、薬剤の作用で色素を分解して歯の色を白くしていきます。

歯を削る必要がないため、体への負担を抑えながら白い歯を目指せます。市販の薬剤を使うセルフホワイトニングとは違い、歯科医院で扱う薬剤を使用するため、自分の歯本来の色よりも白い歯を目指すことが可能です。

ホワイトニングは
こんな方におすすめ

  • 加齢によって歯の色がくすんできた方
  • 結婚式や大事なイベントを控えている方
  • 天然の歯とセラミックの色の差が気になる方
  • 生まれつき歯が黄ばんでいる方
  • 神経が死んでしまったことによる歯の変色が気になる方

効果を実感しやすい
医療ホワイトニング

春日井市のホワイトニング

「ホワイトニングサロンで施術を受けたけれど、思うような白さにならなかった」という経験はありませんか?そんな方にこそ、歯科医院で提供する医療ホワイトニングを体験いただきたいと考えています。

医療ホワイトニングの大きな特徴は、「過酸化水素」や「過酸化尿素」といった薬剤を使用できる点にあります。歯を根本から漂白するこれらの薬剤は、医療機関でのみ使用が許可されているものです。扱いには専門的な技術が必要なため、歯科医師や歯科衛生士といった有資格者が施術を担当します。

もし「歯がしみる」などのトラブルが発生しても、医療機関なら迅速に対応が可能です。患者さま一人ひとりの歯の状態に合わせた専門的なケアをご提供できるのも、医療ホワイトニングならではの強みと言えます。

当院では、ご自宅で行う「ホームホワイトニング」と、神経が死んでしまった歯に対して行う「ウォーキングブリーチ」の2種類をご用意しています。ホワイトニングサロンで効果が感じられなかった方も、ぜひ一度ご相談ください。

自宅で気軽にできる
ホームホワイトニング

春日井市のホワイトニング

歯科医院に何度も通うのは難しい、自分のペースで歯を白くしたい。そんな方には、ご自宅で好きなタイミングで行えるホームホワイトニングがぴったりです。

専用トレーにジェルを入れてお口に装着するだけという手軽さで、化学的に安全面に配慮しつつ歯を白くできます。歯科医院で施術を受けるオフィスホワイトニングと比べて自然な白さに仕上がり、色の後戻りやしみも少ないのが利点です。

当院が採用しているホームホワイトニング「アンジェラス」は、過酸化尿素の濃度を10%と16%から選択できます。16%配合のホームホワイトニング剤としては、日本で初めて認可されました。粘度の高いジェルが歯の表面に密着し、効果的にホワイトニングを進められるのが魅力です。多くの歯科医院で使用されている一般的なホームホワイトニング剤と違い、「アンジェラス」は唯一フッ化ナトリウムと硝酸カリウムが配合されているため、知覚過敏が起こりにくく歯質強化もできます。また、ホワイトニングジェル1本あたりの内容量が多いので、経済的な面でも安心してお使いいだだけるでしょう。

装着時間は日本においては2時間となっていますが、欧米などでは一晩使用(~8時間程度)が一般的です。平均2〜3週間で効果を実感でき、付属のジェル4本で約4段階明るい歯に。ジェルを追加購入すれば、いっそう白い歯を目指せます。さらに嬉しいことに、薬剤には歯周病菌や虫歯菌を減らす効果もあります。定期的なクリーニング(PMTC)と併用すれば、予防効果とホワイトニング効果の両方を高めることが可能です。

アフターケアも充実
春日井市のホワイトニング

しみにくい薬剤とはいえ、個人差があるのも事実です。そこで当院のホームホワイトニングセットには、専用トレーと持ち運びケース、ジェル4本(約16日分)に加え、しみ止め成分入りの歯磨き粉とミネラル豊富なMIペーストをお付けしています。

日常的にしみ止め歯磨き粉を使い、ホワイトニング後にMIペーストを塗布するのも効果的です。MIペーストが歯の表面をコーティングし、しみを防ぐだけでなく歯質強化と虫歯予防の効果も得られます。使用方法も丁寧にご説明しますので、初めての方でも安心してホームホワイトニングに取り組んでいただけるでしょう。

神経が死んだ歯には
ウォーキングブリーチ

春日井市のホワイトニング

虫歯や怪我で歯の神経が死んでしまうと、血液循環が止まり、歯の内部組織である象牙質のコラーゲンが変色して歯が黒ずんでしまいます。前歯が1本だけ黒くなってしまい、悩んでいる方も多いのではないでしょうか。

残念ながら、こうした歯には通常のホワイトニング薬剤では効果が期待できません。しかし諦める必要はありません。ウォーキングブリーチという方法なら、歯の内側から漂白が可能です。

ウォーキングブリーチとは?
春日井市のホワイトニング

歯の裏側の詰め物を外し、そこに薬剤を入れて内側から漂白する治療法です。薬剤交換を平均3〜4回行うことで、他の歯と同じような白さを目指せます。

「歯を削るのでは?」と心配される方もいらっしゃいますが、神経の治療の際に使った穴を再利用するため、新たに歯を削る必要はありません。

一般的には過酸化水素が使われますが、痛みを感じたり、根の内部で吸収が起きたりといった副作用が起こることがあります。そこで当院では使用薬剤を見直し、同等の効果がありながら副作用を抑えた、体に優しい、より安全なホワイトニングを目指しています。

ウォーキングブリーチの注意点
春日井市のホワイトニング

神経が死んでいる歯には、まず根管治療(歯の根の治療)が必要です。既に根管治療が済んでいても、状態によっては再治療が必要な場合もあります。きちんと診断した上で、適した処置を進めていきます。

ウォーキングブリーチは経年的に色が多少戻ることがあると言われていますが、当院では長期間色を保てている症例も少なくありません。仮に後戻りしても、少ない回数の再治療で色味は回復します。

当院には、名古屋など市外からも多くの方がウォーキングブリーチのために来院されています。歯の変色でお悩みの方は、ぜひ一度ご相談ください。

※詳しい治療内容は、ご来院時に丁寧にご説明いたします。

ホワイトニングで納得の白さを

春日井市のホワイトニング

ホワイトニングを行えば必ず理想の白さになれる、というわけではありません。歯の変色の程度や状態によっては、思うような効果が得られないケースもあるのは事実です。

そんな時は、ラミネートベニアやダイレクトボンディング、セラミック治療など、審美歯科の幅広い選択肢から別の方法をご提案できます。

審美歯科全般に力を入れ、豊富な実績を積み重ねてきた当院だからこそ、お一人おひとりの歯の状態を見極めることが可能です。妥協せずに、本当に納得いただけるきれいな口元を目指していきます。

歯の色味でお悩みの方は、まずは気軽にご相談ください。

ホワイトニングの症例情報

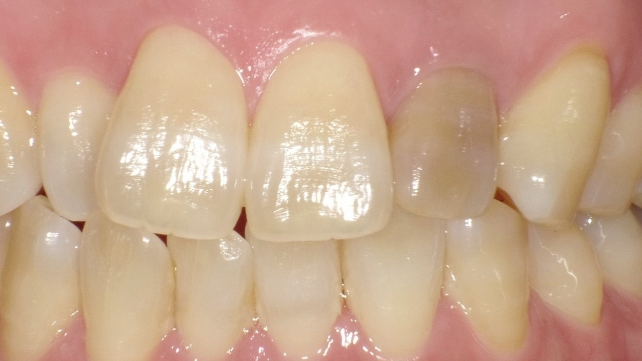
ウォーキングブリーチの症例

Before

春日井市のホワイトニング

After

春日井市のホワイトニング

S.Y.さま 女性  治療時41歳

前歯の変色が気になるとのことでウォーキングブリーチをご希望され、他市から来院されました。

わずか2回の治療で隣の歯と変わらない白さに改善しました。3回目の来院時に治療した歯の裏側に白い詰め物をして終了です。白くなるまでの回数はケースによりまちまちですが、4回程度かかることが多いです。

 

治療の期間・回数:27日、3回
治療時期:
2023年
治療の価格:12,100円(保険診療分は別途)
治療のリスクや副作用:重度の変色では、期待通りの白さが得られない場合もあります。その場合はセラミックラミネートべニア法やダイレクトボンディング治療も選択肢です。

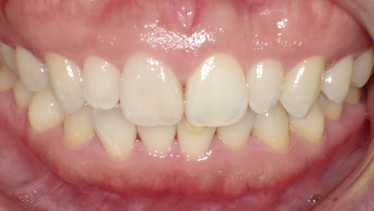
ウォーキングブリーチと
ホームホワイトニングの症例

Before

春日井市のホワイトニング

After

春日井市のホワイトニング

I.K.さま 女性  治療時33歳

前歯の変色が気になるとのことで来院されました。

歯の根の治療をしたことがないとのことでしたが、歯髄(歯の神経)反応がないため、まず歯根の治療を開始。その後にウォーキングブリーチを行いました。全体に白くしたいとのご希望がありましたのでホワイトニングも同時に始めています。

治療の期間・回数:56日(途中、別の虫歯治療を行っているため)、3回(歯根の治療終了後)
治療時期:2024年
治療の価格:45,100円(ホワイトニング費用含む、保険診療分は別途)

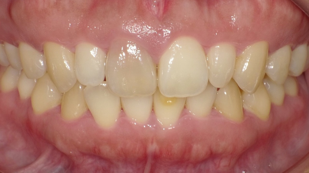
ウォーキングブリーチと
ホームホワイトニングの症例

Before

春日井市のホワイトニング

After

春日井市のホワイトニング

治療後すぐ

春日井市のホワイトニング

2年後

T.N.さま 女性 治療時39歳

上の真ん中2歯は神経がなく、変色が気になっておられました。全体的に白くしたいとのご希望でしたので、ウォーキングブリーチ法に加え、ホームホワイトニングを同時進行で行なわせていただきました。

2025年現在も3か月ごとの定期ケアに欠かさず来院されています。

 

治療の期間・回数:39日間、5回
治療時期:2006年
治療の価格 :48,300円(ホワイトニング費用含む、保険診療分は別途)

ホワイトニングの種類・料金

ホームホワイトニング

春日井市のホワイトニング

自宅で行うホワイトニングです。患者さま専用のマウスピースを歯科医院で作り、自宅にてマウスピースにホワイトニングの薬剤を流し込んで数時間装着します。白くなるまでに時間は要しますが、元の歯の色に戻ってしまう「後戻り」が少ないメリットがあります。

当院のホームホワイトニングには、上下の専用トレー、ケース、ジェル4本(約16日分)、しみ止めの歯磨き粉、さらにしみ止めとむし歯予防に有効なMIペーストが含まれています。

ホームホワイトニング 33,000円
追加ホワイトニングジェル1本 5,280円
歯のクリーニング(必要な場合のみ) 5,500円

治療の期間・回数:約16日分
リスクや副作用:まれに知覚過敏が起きる可能性があります。一時中断すると症状は消失します。セットの中の歯磨剤とMIペーストのご使用で症状は緩和されます。1~2日おきか時間を短縮する等、ご自分で調整が可能です。量が多すぎて歯茎にはみ出た状態のままにしておくと、歯茎が一部白くなる可能性があります(数日で改善します)

ウォーキングブリーチ

春日井市のホワイトニング

神経をとった歯の変色を改善するための治療法です。歯の裏側の詰め物を取り、調合した専用ホワイトニング剤を詰めて白くします。

当院では、一般的に使用されている過酸化水素は副作用の観点から使用していません。同程度の効果を保ちつつ、より安全に配慮したウォーキングブリーチを行っています。

初回 6,600円
2回目以降 5,500円

治療の期間・回数:約3~4回
リスクや副作用:ほとんどの場合、隣の歯と同程度の白さになりますが、その程度や治療回数は個人差があります。

※金額は税込み表記です。

ホワイトニングのよくあるご質問

ホワイトニングの効果は
どのくらい続きますか?

効果の持続期間には個人差があり、生活習慣やお口のケアの状況によって大きく異なります。

特にタバコを吸う方や、コーヒー・紅茶・赤ワインなど着色しやすい飲食物を多く摂取される方は、効果が短くなる可能性も。日々のケアと定期的なメインテナンスで、白さを長く保てます。そのための秘訣をアドバイスいたします。

なお、詰め物や被せ物はホワイトニングでは白くなりません。後から白く治療が必要になるかもしれません。

ホワイトニングに
副作用はありますか?

一時的な歯の知覚過敏が起こる場合があります。ただし症状は一過性です。歯に悪影響はありません。

治療前には副作用について詳しくご説明し、安全に配慮しながら進めていきますので、不安な点は遠慮なくお尋ねください。

ホワイトニングは
誰でも受けられますか?

妊娠中や授乳中の方、小児、無カタラーゼ症の方は、ホワイトニングを控えたほうが良いでしょう。

また、虫歯や歯周病がある場合は、まずそちらの治療を優先します。

春日井市でホワイトニングができる歯科をお探しなら、「加藤歯科医院」へ。歯への刺激をできる限り抑えた施術で、自然な白い歯を目指せます。
 

春日井市の歯医者|加藤歯科医院

加藤歯科医院 院長 加藤 達朗

資格

歯科医師

検診・歯石取り・歯のクリーニング・フッ素塗布などもご予約いただけます。3か月先のご予約もお気軽にどうぞ。

0568-84-2333

診療時間

 
午前
午後

午前:9:30~12:30
午後:14:00~18:30
:14:00~17:30

休診日:木曜・日曜・祝日

0568-84-2333

〒486-0832
愛知県春日井市乙輪町3丁目50−1
JR中央線「春日井駅」より徒歩7分