春日井市の歯医者・歯科医院なら

〒486-0832 愛知県春日井市乙輪町3丁目50−1
JR中央線「春日井駅」より徒歩7分

診療時間
9:30~12:30
14:00~18:30

▲:14:00~17:30(休診日:木曜・日曜・祝日)

ご予約・お問合せはこちらへ

0568-84-2333

当院のジルコニア治療

※自費診療になります。

ジルコニアとは?

ジルコニア治療とは、強度と審美性を兼ね備えた材料「ジルコニア」を使った治療のことです。

ジルコニアは薄くても強く耐久性があるため、詰めたり被せたりする場合でも、削る量を最小限に抑えられます。また前歯だけでなく噛む力が強い奥歯にも適しています。

白く自然な歯の色に近い特徴がありますが、前歯の特に審美性が必要な場合、ジルコニアの外側にセラミックを焼き付けることで、さらに透明感をプラス。より自然な歯に仕上がります。(ジルコニアセラミックス)

また、歯垢や歯石、着色がつきにくく予防にも有効です。金属アレルギーのリスクもありません。

ジルコニアはこんな方におすすめ

  • 被せる治療の場合などに、なるべく歯を削る量を少なくしたい方
  • 白くきれいな歯を入れたい方
  • 金属アレルギーがある方
  • 奥歯の詰め物・被せ物の治療を行う方
  • 二次むし歯や歯周病を防ぎ、歯を長く維持させたい方

当院のジルコニア治療

歯を長持ちさせるために

春日井市のジルコニア

歯を長持ちさせる秘訣は、ご自身の歯をどれだけ残せるかにかかっています。特に重要なのが、歯の表面を覆うエナメル質を守ることです。

エナメル質は人体で最も硬い物質で、鉄よりも硬く、水晶と同程度の硬さを持ちます。しかし、その下にある象牙質は柔らかく神経(歯髄)にも近いため、エナメル質を失うと知覚過敏や虫歯にかかりやすくなってしまうのです。

もう一つ大切なのが、虫歯の再発リスクが低い材料で修復することです。保険治療で使われる金属の詰め物・被せ物は、歯への適合が悪く経年劣化や変形が起こりやすいという欠点があります。歯との間に隙間ができ、そこから虫歯が再発してしまう可能性もあるのです。

治療を繰り返すたびに、歯の寿命は縮んでいく一方です。だからこそ当院では、歯を長持ちさせられるジルコニア治療をご提案しています。

強度の高いジルコニア

春日井市のジルコニア

ジルコニアの最大の特徴は強度です。ダイヤモンドと同じ結晶構造を持ち、陶器などのセラミックの仲間でありながら、金属の仲間でもある特殊な材質で、耐久性、耐摩耗性、耐酸性にも優れています。

従来のセラミックには大きな弱点がありました。衝撃に弱く割れやすいため、セラミック自体に厚みを持たせる必要があり、その分ご自身の歯をかなり削らなければならなかったのです。せっかく虫歯の再発を予防できる材質を選んでも、歯を削る量が多くては本末転倒です。

しかしジルコニアなら、薄くても高い強度を保てるため、歯を削る量を大幅に抑えられます。ご自身の歯を多く残せるということは、歯の寿命自体を延ばすことにつながります。歯本来の強度や美しさを守れるジルコニアだからこそ、長期的な歯の健康を目指せるのです。

体に優しい材質

春日井市のジルコニア

金属の仲間でもあるジルコニアですが、実は金属成分は一切含まれていません。そのため金属アレルギーの心配が全くないのも大きなメリットです。

金属アレルギーは遅延型アレルギーとも呼ばれ、すぐに発症しないケースも多くあります。お口の中の金属がイオン化し、体に蓄積されることで発症するため、今は大丈夫でも将来的なリスクが心配です。ジルコニアなら、そんな金属アレルギーの不安からも解放されます。

また、表面が均一で滑らかなジルコニアは、歯石やプラーク(歯垢)が付着しにくいという利点もあります。お口の汚れ具合をチェックする染め出し液でお口の中全体が真っ赤に染まってしまう方でも、ジルコニアの部分だけは白く残ることがあるほどです。また汚れがついても簡単にとれる性質があるため、普段通りのお手入れで清潔な状態をキープでき、虫歯や歯周病の予防にもつながります。

さらに、金属と違って熱伝導性が低いのも特徴です。熱い・冷たいといった温度による知覚過敏が起きにくく、神経への余計な刺激を防げます。温度刺激が原因で起こる神経の炎症なども予防が可能です。

人工関節にも使われるほど体に優しい材質のジルコニア。どなたでも安心してお使いいただきやすい素材です。

透明感のある自然な見た目

春日井市のジルコニア

メリットの多いジルコニアですが、歯科治療で使われ始めた当初は、透明感や色味といった審美性がイマイチでした。しかし改良が重ねられた現在では、セラミックに近い美しさを実現しています。

当院では、色彩や硬度が異なる4種類のジルコニアから、お一人おひとりのお口の状況に適したものを選択。機能性を保ちながら、美しい見た目を再現できるよう努めています。透明性のある層を含む滑らかなグラデーションのブロックを削り出して詰め物・被せ物を作るため、天然の歯と比べても違和感の少ない自然な仕上がりになります。

特に審美性を求められる前歯には、透明度の高いセラミックスを薄く焼き付けることで、強さとより美しさを追求した歯にすることができます。(ジルコニアセラミックス)

ジルコニアの美しさは、時間が経っても大きな変化がありません。経年劣化の影響をほとんど受けないため、半永久的に美しい状態をキープできます。

さらに嬉しいのは、金属を一切使用していないことです。被せ物をした歯の歯茎のふちが黒くなる「ブラックマージン」の心配もありません。歯だけでなく歯茎も含めて、自然で美しい状態を長く維持できるのがこの素材の魅力です。

ジルコニア治療の症例情報

ジルコニアセラミッククラウンの症例

Before

春日井市のジルコニア
春日井市のジルコニア

After

春日井市のジルコニア
春日井市のジルコニア

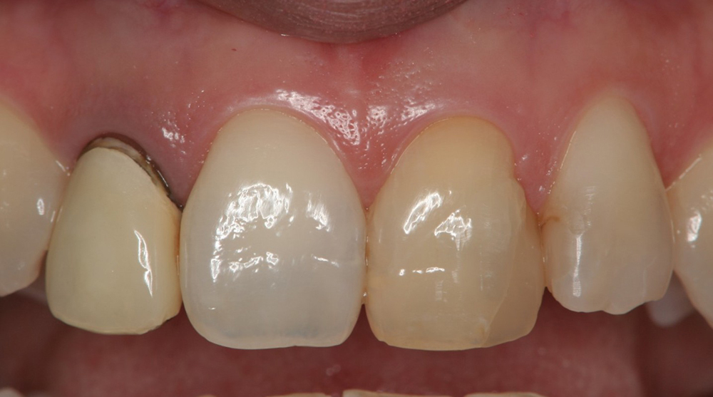
T.I.さま 女性  治療時30代

前歯がねじれて少し重なっているケースです。従来のセラミック治療では、神経をとることは避けられないでしょう。薄くても強くキレイなジルコニアセラミックス治療により、削る量は最小限に抑えられ、神経は温存できました。

治療の期間・回数:10日、2回
治療時期:2012年

治療の価格:115,500円
治療のリスクや副作用:強度が高いため薄くでき、歯を削る量は少ないですが、歯全体を被うことになります。世界的には標準治療ですが、日本では保険が適用されませんので一般的な費用が掛かります。

ジルコニアセラミッククラウン1歯 
セラミックスラミネートベニア1歯の症例

Before

春日井市のジルコニア

After

春日井市のジルコニア

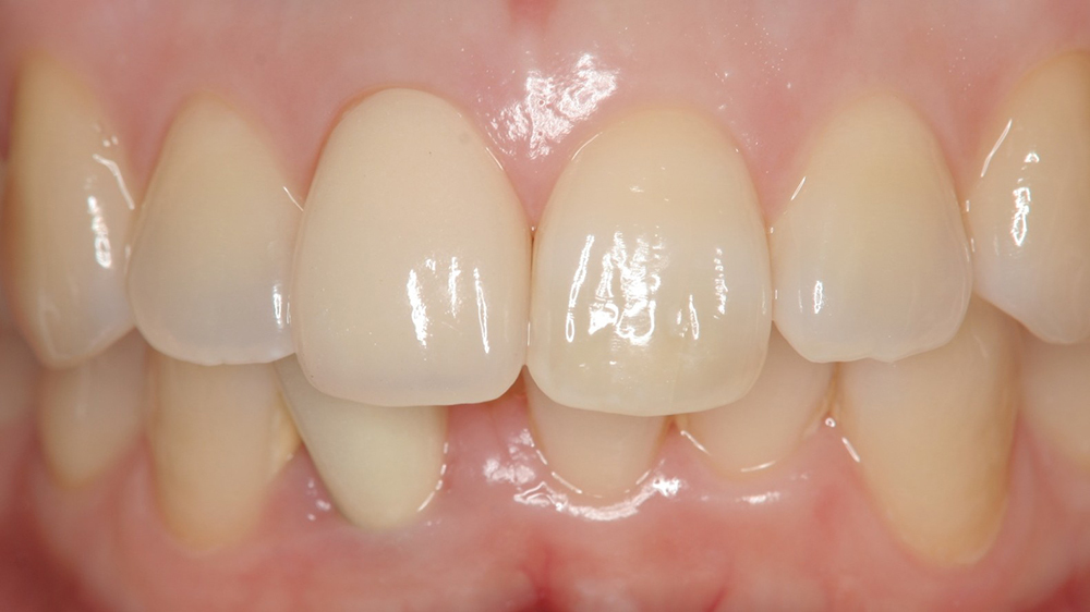
N.N.さま 女性 治療時30代

真ん中に向かって右側の歯は以前、歯髄(いわゆる神経)をとってあり、そのために変色しています。1歯の変色だけであれば「ウオーキングブリーチ法」も選択肢なのですが、大きな詰め物も入っているためセラミックスラミネートベニアがベストの選択と判断しました。

左側の被せものは根元が出てしまい、金属ベース(冠の内面が銀歯)のために黒い縁取りが見られます。色もマッチしていないためジルコニアセラミッククラウン治療を提案させていただきました。これで今後、歯の変色に悩むことはなくなります。

2歯治しただけで、お顔の印象がずいぶん変わりました。定期メインテナンスは欠かさず続けていただいています。

2006年に治療後、19年(2025年現在)経過しましたが綺麗な状態を保たれています。

治療の期間・回数:50日、5回
治療時期:2006年
治療の価格:168,000円
治療のリスクや副作用:強度が高いため薄くでき、歯を削る量は少ないですが、歯全体を被うことになります。世界的には標準治療ですが、日本では保険が適用されませんので一般的な費用が掛かります。

ジルコニアセラミッククラウンの症例

Before

春日井市のジルコニア

After

春日井市のジルコニア

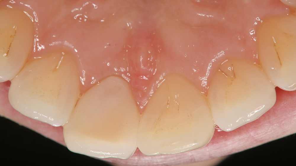
S.S.さま 女性  治療時18歳

上の前歯の審美障害を主訴に来院されました。

他の歯も含め歯列不正がありましたので、当初、矯正をお勧めしましたが、希望として矯正はしたくないことと、大学入学を控え早期に治したいとのご希望でした。

以前、歯の破折のため治療されていた詰め物が、経年変化により変色していたこともあり、前歯2歯の補綴治療(被せ物)を提案し、了解されました。

以前のセラミック治療であれば、歯の形態修正のため削除量が多くなることと、さらには被せものの厚みが必要なため、歯髄(いわゆる神経)をとることは避けられませんでした。

薄くて強いジルコニアセラミックスクラウンにより、歯髄は温存することができました。

また、わずか3回の治療により審美障害は改善されました。

治療の期間・回数:22日、3回
治療時期:2012年
治療の価格 :231,000円
治療のリスクや副作用:強度が高いため薄くでき、歯を削る量は少ないですが、歯全体を被うことになります。世界的には標準治療ですが、日本では保険が適用されませんので一般的な費用が掛かります。

ジルコニア治療の種類・料金

ジルコニア

春日井市のジルコニア

「人工ダイヤモンド」とも呼ばれるジルコニアを使用した詰め物・被せ物です。優れた強度と耐久性が特徴で、従来の素材と比較して薄く仕上げることが可能なため、歯を削る量を最小限に抑えられます。

表面が滑らかで汚れが付着しにくく、2次虫歯や歯周病の予防効果を期待できるのもメリットです。熱の伝わりにくい性質により、知覚過敏のリスクも軽減されます。

金属を一切使用しないメタルフリー素材のため、金属アレルギーの心配がなく、歯茎の黒ずみが生じる可能性もありません。

ジルコニアインレー 77,000円
ジルコニアクラウン 96,800円
ジルコニアセラミッククラウン 132,000円
ジルコニア接着ブリッジ 209,000~275,000円

治療の期間・回数:2~3週間、2~3回
リスクや副作用:保険の歯と比べて費用がかかります。

※金額は税込み表記です。

ジルコニア治療のよくあるご質問

ジルコニア治療を受ける際に
注意することはありますか?

現在のセラミックやジルコニア治療は需要の高まりとともに技術が急速に発展し、強度や審美性などの向上は著しいものがあります。しかし種類によって特徴が異なるため、ケースに応じて適した方法を選択する必要があります。

また高度な技術を必要とするため、治療を行う歯科医師によって耐久性や見栄えの美しさに差が生じることも。十分に説明を受け、納得した上でご判断いただくことをおすすめします。

保険が効く、前歯の
白い被せ物治療との
違いはなんですか?

保険診療の前歯の被せ物は硬質レジン前装冠(ぜんそうかん)といい、金属の上にプラスチックを貼り付けるものです。最近ではCAD/CAM冠(キャドカムかん)というプラスチックの被せ物もあります。利点は、保険適用のため費用が安い点です。

しかしプラスチックは摩耗しやすく、吸水作用があり徐々に変色してしまいます。また材質の問題から厚みが必要なため、歯を削る量が多くなり、その分ご自身の歯が少なくなってしまうのも欠点です。

保険治療と自費治療は、精度や接着の技術など、基本的な治療の質が異なります。セラミックやジルコニアはプラーク(歯垢)が付きにくく、付いても落としやすい特性を持つため、虫歯や歯周病の予防にも効果的です。

ジルコニア治療は
一生持ちますか?

治療費は決して安くないため、一生持たせたいお気持ちはよくわかります。しかし残念ながら、永遠のものとは言えません。例えば80歳の方に現在何本の歯が残っているか考えると、「一生持たせることは困難」と言わざるを得ません。歯の状態が悪くなる原因として虫歯や歯周病、歯の根の病気などが挙げられますが、これらはどんな治療でも起こりうる問題です。

ただしジルコニア治療は自費治療のため、厳選された最新の材料と、時間をかけた精密で丁寧な治療により、悪くなるリスクを減らすことは可能です。使用する器具・型どりの材料・厳密な精度・削った歯の表面のコーティング処理・歯への接着技術など、歯を長く維持するために細部にまでこだわって治療することができます。ここが保険の治療と決定的に違うところです。

セラミックやジルコニアはプラークが付きにくいため、虫歯や歯周病予防にも有効です。毎日のお手入れはもちろん、歯科医院での定期的な予防歯科治療を受けることで、少しでもキレイな状態を持続させていきましょう。

ジルコニアは硬いので、
噛み合わせの相手方の歯を
傷めませんか?

確かにジルコニアは、非常に硬くて耐久性が高い素材です。歯科治療への導入当初は、噛み合わせの相手方の歯に負担をかけるのではと危惧されたこともあります。しかし様々な研究機関での調査により、以下の点を考慮すればクリアできることがわかっています。

表面の調整

ジルコニアの表面を滑らかに仕上げることで、噛み合う歯への摩耗を抑えることが可能です。

噛み合わせの設計

噛み合わせの調整を行い、力が均等に分散されるようにします。

定期的なメインテナンス

定期的に噛み合わせや噛み合う歯の状態をモニタリングし、必要に応じて調整します。

当院ではこれらを踏まえて、しっかりと対応しています。こうした配慮に加えてジルコニアの材質自体が進化・改善しているため、心配は全くないと言っても過言ではないでしょう。それどころか、ジルコニアは耐久性・耐変色性に加えてプラークが付きにくく、虫歯や歯周病予防に有効な材質です。被せ物の素材として、今では世界中のスタンダードとなっています。

春日井市の加藤歯科医院では、ジルコニアを用いた歯科治療の長いキャリアがあり、その経験に基づく技術の蓄積があります。「あなたにとって最良の治療を提供したい」「いつまでも自分の歯で美味しく食事を味わっていただきたい」「美しい歯で自信をもって会話を楽しみ、心から笑える喜びを感じていただきたい」そのような思いで診療させていただいております。

治療内容についての詳細やご質問があれば、加藤歯科医院にお気軽にお問合せください。

春日井市の歯医者|加藤歯科医院

加藤歯科医院 院長 加藤 達朗

資格

歯科医師

検診・歯石取り・歯のクリーニング・フッ素塗布などもご予約いただけます。3か月先のご予約もお気軽にどうぞ。

0568-84-2333

診療時間

 
午前
午後

午前:9:30~12:30
午後:14:00~18:30
:14:00~17:30

休診日:木曜・日曜・祝日

0568-84-2333

〒486-0832
愛知県春日井市乙輪町3丁目50−1
JR中央線「春日井駅」より徒歩7分